レントゲン検査
胸部レントゲンのAI診断システム「CXR-AID」を導入
胸部単純レントゲン検査は、X線を用いて肺や心臓、血管など胸部の状態を確認する、健康診断でも広く行われている検査です。咳や息切れ、血痰といった症状がある場合や、心臓・肺の病気が疑われる際に実施されます。
当院では、富士フイルム社のAI診断支援システム「CXR-AID」を導入し、胸部レントゲン画像をAIが自動解析することで、異常が疑われる部分を検出・表示しています。これにより、医師による確認を補助し、見落としの防止と診断精度の向上を図っています。
検査で異常が疑われた場合には、胸部CTなどの精密検査が可能な連携医療機関をご紹介し、適切な診断と治療につなげます。
AI診断の機能について
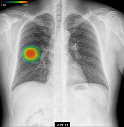
① 病変検出機能
AI技術を活用して胸部単純X線画像から結節・腫瘤影、浸潤影、気胸の3つの画像所見を検出し医師の画像診断を支援します。これにより、主要な肺疾患の早期発見につながる重要な所見につながります。
② ヒートマップ表示機能
撮影した胸部単純X線画像を自動解析し、結節・腫瘤影、浸潤影、気胸が疑われる領域を検出、確信度に基づいた表示を行います。確信度のスコアに応じて、画像はカラーコーディングによるヒートマップとして映し出されます。
③ スコア表示機能
画像単位の解析結果として、画像内の確信度の最大値が数値で表示されます。
当然、最終的な診断は医師が行いますが、こうした領域を医師が再度確認することで、見落とし防止へとつなげてまいります。
超音波検査
準備中…
準備ができ次第、お知らせします。
糖尿病検査
血液分析装置 Banalyst
過去1~2か月の平均的な血糖値の状態を反映する検査値HbA1C(ヘモグロビンエーワンシー)を測定する機械です。15分ほどで結果が得られます。
指先などからの少量の血液採取と、6分~15分程度の短い時間で測定可能です。糖尿病の治療には必須の検査です。
心電図検査
解析付心電計 FCP-8300
心電図検査は、心臓の疾患に関わる検査の中でも比較的簡単に行えるので、病気発見の第一の手がかりとしてよく用いられます。
血圧検査
血圧脈波検査装置 VS-2000
心電図・ABI・CAVIの3種類の検査が可能です。
- 心電図:不整脈や狭心症・心筋梗塞などの虚血性心疾患の有無を確認します。
- ABI(足関節上腕血圧比):下肢動脈の狭窄や閉塞の程度を評価する検査です。
- CAVI(心臓足首血管指数):血管の硬さを測定し、動脈硬化の進行度を把握します。
これらの検査は、心臓や血管の状態を調べるだけでなく、高血圧や脂質異常症といった生活習慣病の評価や管理にも役立ち、日々の健康維持をサポートします。
血液検査
自動血球計数装置 Microsemi LC-710
少量の血液で血球数、赤血球数、血小板、CRP(炎症反応)をほんの数分で測定できます。迅速に治療を開始するために、得られる検査結果から炎症や感染症の正確な診断をするのに有効な検査です。
採血量もごく少量ですみますので、大人はもちろんのこと、お子様の指先からの採血でも判定可能です。
尿検査
小型尿分析装置 CLINITEK Status+
尿中の糖や蛋白などを迅速に測定し、糖尿病や腎臓病、膀胱尿道の病気などの早期発見に繋げます。

